EKG, Belastungs-EKG, Herzultraschall, Farbdopplersonographie

EKG, Belastungs-EKG, Herzultraschall, Farbdopplersonographie

Zur Startseite
Pferdeklinik Sottrum West
Dr. M. Paar
(Fachtierarzt für Pferde)
24h - Notdienst
nach telefonischer Voranmeldung:
Mo.-Fr.: 8.00-18.00 Uhr04264 836620
Außerhalb der Bürozeiten0173 8811093
EKG, Belastungs-EKG, Herzultraschall, Farbdopplersonographie

EKG, Belastungs-EKG, Herzultraschall, Farbdopplersonographie


Direkt zu folgenden Unterpunkten:

>>> EKG, Belastungs-EKG
>>> Herzultraschall (b-Mode, m-Mode und          Doppler-Techniken)
>>> Farbdopplersonographie von Gefäßen



Häufige Ursachen für Leistungsschwäche beim Pferd sind Herzrhythmusstörungen und Herzklappenfehler. Deren genaue Diagnostik erfolgt mit Hilfe moderner Geräte.

Am Anfang steht jedoch, nach Erfragen des Vorberichtes, die klinische Untersuchung des Herz-Kreislaufapparates. Dabei werden erste Befunde erhoben, die einen Verdacht zulassen. Dieser wird dann im Rahmen der speziellen Untersuchungen genauer abgeklärt.

So werden Herzrhythmusstörungen durch ein Elektrokardiogramm (EKG) genauer diagnostiziert. Dabei muss zwischen krankhaften und "normalen" (physiologischen) Rhythmusstörungen unterschieden werden. Dies hat auch Bedeutung bei einer Narkosevoruntersuchung. Neben der Möglichkeit zur Ableitung eines Ruhe-EKGs verfügt die Klinik über ein telemetrisches EKG-Gerät, mit welchem sowohl Belastungs-EKGs als auch Langzeit-EKGs (i.d.R. über 24 Stunden) abgeleitet werden können. Die Beurteilung der elektrischen Herzaktivität in der Belastung ist ein wichtiger Bestandteil in der Leistungsdiagnostik und hilft, mögliche Ursachen für eine Leistungsschwäche zu erkennen. Da nicht alle Rhythmusstörungen dauerhaft auftreten, kann die Auswertung eines Langzeit-EKGs aufschlussreich sein.

Auch die fetomaternale Elektrokardiografie ist ab dem 170. Trächtigkeitstag möglich und erlaubt zusammen mit der transabdominalen, fetalen Ultraschalldiagnostik die Beurteilung der fetalen Aktivität. Damit steht zur Überwachung während einer Risikoträchtigkeit ein praxistaugliches Mittel zur Verfügung.

Herzklappenfehler und mögliche daraus resultierende Dimensionsveränderungen am Herzen (z.B. Vorhofdilatationen) werden durch eine Ultraschalluntersuchung abgeklärt.
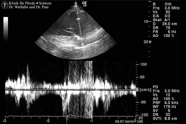
Hierfür steht uns ein Ultraschallgerät zur Verfügung, das bei hoher Auflösung eine besonders hohe Eindringtiefe hat und neben der herkömmlichen Untersuchung im b-Mode auch mit m-Mode- und Farbdoppler-Technik ausgestattet ist. Durch die Doppler-Technik werden Blutströme und ihre Turbulenzen dargestellt.

Herznebengeräusche, die beim Abhören des Pferdes auffallen, beruhen in den meisten Fällen auf einen unvollständigen Schluss einzelner Herzklappen ("Herzklappenfehler"). Durch die Ultraschalluntersuchung kann abgeklärt werden, ob dies für die Leistungsfähigkeit von Bedeutung ist und ob es eine Auswirkung auf den aktuellen Gesundheitszustand hat.

Die Herzultraschalluntersuchung wird nicht selten auch im Zusammenhang mit Kaufuntersuchungen durchgeführt und hat natürlich auch Bedeutung für die Einschätzung des Narkoserisikos. Sie ist desweiteren unverzichtbar bei dem Entscheid über die Behandlung von Pferden mit Vorhofflimmern. Bei starken Dimensionsveränderungen am Herzen ist die Prognose für eine dauerhaft erfolgreiche medikamentöse Entflimmerung schlecht.

Die Herzultraschalluntersuchung ist zeitaufwendig - Planen Sie bei ambulanten Terminen hierfür bitte zwei Stunden Zeit ein!

Die Farbdopplersonographie stellt Blutflüsse dar. Sie hilft also auch bei der Diagnostik und Beurteilung von Erkrankungen der Halsvenen. So kann der Grad des Verschlusses einer Halsvene festgestellt und ein Heilungsverlauf beurteilt werden. Zudem kann eine Verengung der Aortenaufzweigung durch Thromben festgestellt werden, die eine Lahmheitsursache der Hinterhand (intermittierendes Hinken) sein kann.

>>> Zurück zur Ausstattungsübersicht.